
▲男子槍傷嚴重,三總團隊透過3D列印等高難度技術成功重建顱顏。(圖/三總提供)
記者邱俊吉/台北報導
一名年輕男性遭步槍擊傷,造成臉骨粉碎、呼吸道阻塞,甚至腦部暴露,被緊急送至三軍總醫院搶救,經醫療團隊啟動跨科協作,展開高難度顱顏重建治療,透過3D列印輔助導航等技術,成功助患者在重創後找回外觀及生活功能。
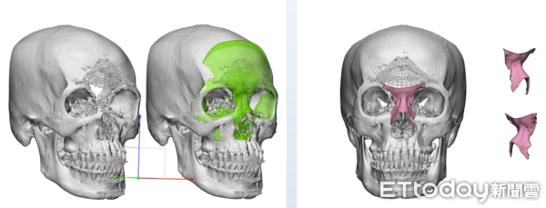
三總整形外科主治醫師徐國峰表示,傳統顱顏重建需靠醫師反覆修整骨骼角度,耗時且密合度有限,而該院團隊導入 3D列印技術,在術前以虛擬模型模擬額鼻骨、下顎等結構,術中依模板精準切割,大幅縮短時間並提升準確度。
[廣告]請繼續往下閱讀...
以下顎重建為例,3D模板可事先規劃腓骨移植的角度及位置,使術後外觀和咬合功能更自然。
徐國峰指出,在這名嚴重顱顏創傷個案中,整形外科與神經外科、口腔外科、耳鼻喉科、胸腔外科協力完成多階段治療,包括清創、顱骨重建與軟組織修復,團隊先以股前外側皮瓣重建鼻中隔及硬顎缺損,並由神經外科負責顱骨清創和人工腦膜覆蓋。歷經多次調整,患者才恢復呼吸與進食,後續再接受鼻重建,外觀逐漸回復,日前已重返社會。
針對手術設計,徐國峰說,醫療團隊除遵循「Replaced like with like」原則,取用最接近的組織,來修補缺損的部位,並透過3D虛擬模型重建缺損額鼻骨,同時依面部比例設計植入物角度及長度,使五官更趨自然。
徐國峰也說,重建背後亦仰賴燒燙傷中心和國家皮庫支援,此案例是急診、手術到術後照護高度協調所累積的成果。
對於顱顏重建,徐國峰認為,透過智慧化、數位化,可望為顏面重建、骨折處理及腫瘤術後修復帶來更高精準度,也為患者重生提供更多可能。
讀者迴響