
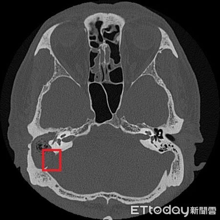
▲從張先生的影像可看到與後顱窩相隔的骨板遭膽脂瘤侵蝕(紅框處)。(圖/台北慈院提供)
記者邱俊吉/台北報導
75歲張先生右耳長期聽力不佳,近期明顯耳痛、耳脹,並持續流膿,治療沒改善,連右側顏面神經都麻痺,到醫院檢查,才發他並非單純耳部感染,而是慢性中耳炎併發膽脂瘤,腫瘤已侵蝕至頭骨顱底,經住院、手術清除病灶後,感染終於獲控制,顱底缺損也完成修補。
台北慈濟醫院耳鼻喉科主治醫師鄭靜雯說,張先生有慢性中耳炎病史,日前因耳痛、耳脹與反覆流膿就醫,檢查時發現耳道嚴重紅腫、狹窄,內部堆積大量碎屑及膿液,雖進行局部清理與藥物治療,病情未見緩解,反而進一步出現顏面神經麻痺,因此高度懷疑病灶已向深部擴散。
鄭靜雯表示,經顳骨電腦斷層檢查後,確認為慢性中耳炎併發膽脂瘤,且已侵蝕顱底骨質,需立即住院,並以抗生素控制感染,待發炎情形穩定再安排手術,先打開乳突骨,完整清除病變組織,並同步進行鼓室重建、外耳道成形及顱底缺損修補,術後恢復良好。
針對膽脂瘤,鄭靜雯說明,耳朵可分為外耳、中耳及內耳,而膽脂瘤是由扁平上皮細胞長期累積角質形成的腫塊,常見於中耳或乳突部位,有先天性與後天性,其中後天性多與慢性中耳炎相關,因長期發炎導致鼓膜穿孔無法癒合,使上皮細胞進入中耳腔,逐漸形成膽脂瘤。
鄭靜雯指出,統計顯示,膽脂瘤約佔慢性中耳炎手術案例10%,高風險群則包括鼓膜穿孔、中耳負壓、唇顎裂兒童及耳咽管功能不佳者;由於膽脂瘤常位於中耳並鄰近顱底,一旦形成,除影響聽力,也可能壓迫神經,甚至引發顱內感染。
鄭靜雯提醒,慢性中耳炎不可輕忽,若耳朵長期流膿、反覆發炎,或有聽力下降、耳脹與耳痛等症狀,應及早就醫,才能避免膽脂瘤侵蝕骨質、波及顱底,造成嚴重併發症。
讀者迴響