
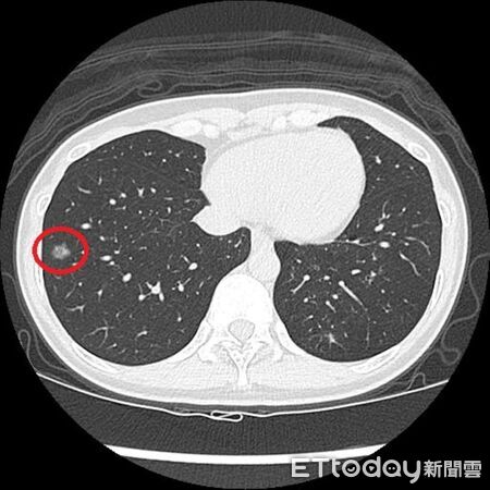
▲LDCT檢查發現陳小姐右側肺部有一顆1.2公分大的毛玻璃結節 。(圖/台北慈院提供)
記者邱俊吉/台北報導
年約40歲的陳小姐過去有抽菸習慣,近2年戒掉,日前身體雖無不適,但符合公費低劑量電腦斷層(LDCT)篩檢條件,決定去檢查,結果在右肺發現一顆約1.2公分的毛玻璃結節,經手術切除後,病理檢查確診為肺癌;醫師說,此案例凸顯即使已戒菸且無症狀,仍可能有早期肺癌,民眾不能輕忽。
台北慈濟醫院胸腔外科主治醫師洪嘉聰說,陳小姐平時定期留意自身健康狀況,此次經LDCT 篩檢後轉介而來,隨後以單孔胸腔鏡微創手術切除病灶,病理證實為肺腺癌第一期,術後恢復情形穩定,目前持續定期回診中。
洪嘉聰表示,根據衛福部癌症登記資料,肺癌已連續43年高居國人癌症死因首位,早期常無明顯症狀,多數患者是在疾病進展後,才出現咳嗽、咳血或呼吸不適等警訊,僅憑身體感覺往往難以及早發現,是否接受篩檢成為早期發現的關鍵。
針對篩檢工具,洪嘉聰說,傳統胸部X光為2D平面影像,對體積小或位置隱蔽的病灶辨識能力有限;一般劑量電腦斷層雖解析度較高,但輻射劑量相對偏高,不適合作為篩檢;相較下,LDCT以較低輻射劑量,從多角度掃描胸腔並重建立體影像,更有助於偵測微小肺結節。
數據顯示,傳統胸部X光僅約7%受檢者會出現疑似異常影像,而LDCT初次篩檢的陽性比例可提升至24%左右,有助患者在尚未出現症狀前即接受治療。
洪嘉聰也說,現今早期肺癌的主流治療為單孔胸腔鏡手術,僅需在側胸開一個約2至3公分的傷口,即可完成病灶切除與縫合;若屬高齡或肺功能較差者,則可考慮冷凍消融治療,在影像導引下破壞癌細胞結構。只要能早期確診、及時治療,肺癌5年存活率可達9成,復發率約2至3成。
讀者迴響