
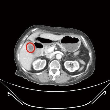
▲婦人同時有胃腸道基質瘤與膽囊炎,紅圈處為膽囊炎。(圖/國泰醫院提供)
記者洪巧藍/台北報導
72歲林女士,3年前經上消化道內視鏡檢查發現有個2公分大的胃黏膜下腫瘤,疑似胃腸道基質瘤,持續門診追蹤,近期發現腫瘤緩慢長大,2個月前因上腹部悶痛且頭暈就診,由於合併有血便症狀,經上消化道內視鏡及電腦斷層檢查,發現腫瘤已接近6公分大,同時膽囊被結石塞滿,已經沒有膽汁的空間,最後透過微創手術進行部分胃切除以及膽囊切除,一次完成治療。
國泰綜合醫院一般外科主治醫師蔡欣恬指出,胃腸道基質瘤(GIST),是由腸胃道肌肉層的間質細胞長出來的惡性腫瘤,佔所有腸胃道癌症的2%左右,好發於年長病人,且年齡約在65-69歲,但也有不到2%的機率發生在20歲以下年輕病人,多與基因遺傳有關。
蔡欣恬說明,胃腸道基質瘤在腫瘤小的時候不太有症狀,有症狀時多已大於2公分,由於臨床症狀沒有特異性,常見如腹部脹悶不適、噁心嘔吐、大便出血、體重減輕及排便習慣改變等,依照腫瘤生長位置不同而有不同的臨床表現。目前針對胃腸道基質瘤主要的治療方式以手術切除為主,標靶治療為輔。

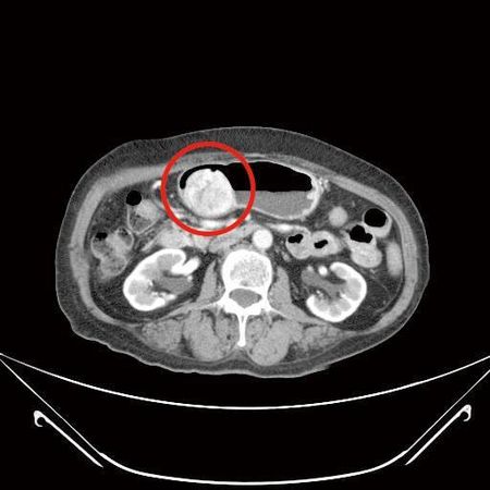
▲患者胃腸道基質瘤已經有6公分大小。(圖/國泰醫院提供)
蔡欣恬指出,胃腸道基質瘤手術的目標在於完整將腫瘤切除,以往這類患者需接受超過15公分傷口的剖腹手術(傷口位於腹部正中間),考量病人合併有膽結石問題,所以建議接受達文西系統機器手臂輔助腹腔鏡手術,不但可以做更細緻的剝離及切除,也可同時處理胃部惡性腫瘤及膽結石。
由於術後僅1個3-5公分及3-4個1公分傷口,大幅降低病人術後傷口疼痛感,患者術後第9天出院。病理化驗報告證實胃部腫瘤屬於低度分化惡性胃腸道基質瘤,評估後僅需定期追蹤檢查,膽囊則是慢性膽炎。
蔡欣恬提醒,由於胃腸道基質瘤早期幾乎沒有症狀,症狀的臨床表現也無特異性,因此很容易被忽略,特別提醒年長者如有腹部脹悶不適、噁心嘔吐、大便出血等症狀,務必多留意,必要時進一步就醫確認。
蔡欣恬也提到,目前衛生福利部對於多項達文西手術已提供手術的健保給付,以一般外科而言,舉凡肝膽胰手術、腸胃道手術(包含減重手術)、疝氣手術,都有健保補助,病人僅需自費相關醫材。
讀者迴響