
▲媽媽認為兒子是感冒或腸胃炎,但求診多家診所都未改善。(示意圖/視覺中國)
記者李佳蓉/採訪報導
孩子一生病讓家長們好揪心,北部一名國小弟弟因腹脹被媽媽帶往就醫,主訴除了腸胃不適、胃口差外,還伴隨低燒及呼吸道症狀,重點是「一直流鼻血」,且多次看診都未改善,醫師張靖一聽直覺不尋常,便以超音波一掃,驚見患者的肝臟與脾臟異常腫大,建議應立即轉診至醫學中心,經後續檢查竟揪出罹患「急性淋巴性白血病(血癌)」。
胃腸肝膽科醫師張靖在粉專發文指出,該名男童除了腹脹外,看起來明顯很疲憊,還有低燒、輕微呼吸道症狀與噁心反胃的症狀,家屬一開始以為是感冒或腸胃炎等常見疾病,其中對方提到關鍵症狀是「一直流鼻血」,但看了好多家診所症狀都未改善、也找不出病因。

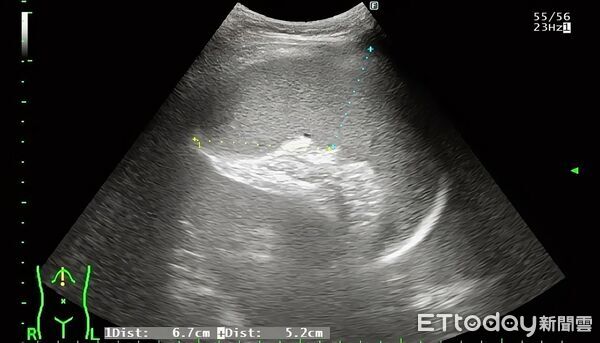
▲男童腹部超音波顯示肝臟與脾臟異常腫大。(圖/張靖醫師授權提供)
由於男童腹脹,張靖先進行腹部超音波,沒想到發現肝臟與脾臟異常腫大,他錯愕地說,「當時的我根本不知道弟弟到底發生什麼事,是特殊病毒感染嗎?還是血液科問題?」只知道真的須轉診至醫學中心了。
張靖接受《ETtoday健康雲》採訪時說明,肝臟與脾臟腫大的常見原因,包括肝臟疾病,像是急性肝炎、慢性肝炎與肝硬化等;也可能與血液系統疾病,如白血病有關;另有感染性疾病,如EB病毒、巨細胞病毒等,也會以肝臟與脾臟腫大來表現。至於代謝和儲積疾病則比較少見,如澱粉樣變性(Amyloidosis)。
張靖表示,男童後續至醫學中心急診抽血,發現數值嚴重異常後,醫師立刻安排檢查,答案竟是急性淋巴性白血病,也就是俗稱的血癌,並立刻展開治療。
「這一切實在來得太突然,想必對弟弟與爸媽來說是一段相當艱辛的過程。」張靖感嘆地說。所幸在積極治療下,急性淋巴性白血病在小朋友身上治癒率相當高,他也祝福患者一切都能平安順利。
藉此個案,張靖提醒,不論是小孩或大人,一般的感冒或腸胃炎,症狀通常不會持續太久,所以當不尋常的症狀持續一段時間卻沒有絲毫改善時,請務必提高警覺。

▲血癌會降低凝血功能,增加出血機率。(示意圖/取自免費圖庫pexels)
台大醫院血液腫瘤科副教授唐季祿醫師曾說明,白血病(俗稱血癌)會造成紅血球、白血球與血小板減少。紅血球減少常見症狀包括貧血、暈眩、心悸、倦怠感等;白血球減少會讓免疫力降低,患者容易遭受感染;血小板減少則會降低凝血功能,增加皮膚、黏膜、皮下出血等機會。
「血癌早期症狀容易與其他疾病混淆!」唐季祿提到,血癌患者的白血球變異速度堪比「光速」,甚至2週內癌細胞就會增至1000倍,感染風險也隨之提高,若未及時治療,嚴重恐喪命,提醒民眾若出現貧血、臉色蒼白、倦怠、骨頭疼痛、經期血流量大增或傷口出血不易止血等症狀時,應盡速至醫院抽血檢驗,才能把握黃金治療期。
讀者迴響