
▲員榮醫療體系員榮醫院急診室翁聖富醫師解釋,張姓患者脾臟(圖中紅圈)破裂的情況。(圖/員榮醫院提供,下同)
記者洪巧藍/台北報導
一名50多歲男子騎車和機車碰撞,當下只覺得左胸劇烈疼痛,因無明顯腹痛或頭部外傷所以沒有就醫,2天後左胸仍痛就醫,檢查竟然發現左側第6至第9根肋骨骨折併有氣胸與皮下氣腫,進一步檢查除胸腔損傷外,腹腔內竟有大量出血,情況一度危急,經過緊急處置才幸運撿回一命。
接手處置個案的員榮醫院急診醫師翁聖富表示,張姓患者到急診時心跳110多下,正常的心跳是60到100下,心跳快其實是休克的早期表現,加上有氣胸左邊肚子也會痛,因此強烈懷疑會不會合併有內臟受損,內出血的可能,所以安排電腦斷層,結果發現患者除氣胸、肋骨四根骨折外,還合併有脾臟的破裂。
翁聖富指出,個案後續確認為脾臟三級破裂,合併腹腔積血,若未及時診斷與治療,恐因失血性休克而危及生命。由於情況危急,轉送醫學中心治療。而脾臟破裂要看受損的程度,如果相對輕微生命徵象也穩定的話,可以考慮用保守治療或者是用血管栓塞的方式,如果有休克症狀,生命徵象不穩定,就要考慮開刀把脾臟拿掉。
翁聖富分析,臨床脾臟破裂的症狀可能並不明顯,患者未必會立即感覺腹痛,有時僅表現為左胸或左肩疼痛,提醒民眾,若外傷後若有持續性左上腹疼痛、左胸痛或肩膀放射痛,務必高度警覺可能為脾臟破裂。
翁聖富強調,發生車禍勿掉以輕心,即使外觀看似只有擦傷或瘀青,仍可能有潛在的內臟損傷。如果感覺左上腹痛、左肩放射痛、頭暈、冒冷汗、血壓下降,皆可能是內出血警訊。若曾發生胸腹部外傷,建議至醫院做影像檢查(如超音波、電腦斷層),避免延誤診斷。

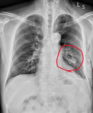
▲張姓患者X光發現左側第6至第9根肋骨骨折,紅圈處為第六根肋骨骨折。
讀者迴響