
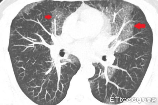
▲「肺部蛋白質沉積症」呈現大白肺狀況。(圖/台北慈濟醫院提供,下同)
記者趙于婷/台北報導
40歲的魏先生一向體格健壯,從事搬運工作多年,近2年來逐漸感覺力不從心,肺活量明顯下降,時常出現間歇性暈眩,甚至有數次突然吸不到氣,就醫檢查意外確診為極罕見的「肺部蛋白質沉積症」,最終透過「洗肺」保命。醫師指出,此疾病在早期常無明顯症狀,容易與肺炎、肺纖維化等疾病混淆,導致誤診與治療延誤,恐危及生命。
收治該病例的台北慈濟醫院胸腔內科主任藍冑進指出,電腦斷層初步研判為肺部慢性發炎,但進一步的支氣管鏡檢查卻顯示氣道清晰無異常,連同細菌與黴菌等各項培養檢查也均為陰性,病因成謎,只能密切追蹤病況,3個月後卻發現雙肺白影惡化,最後魏先生接受電腦斷層導引下的肺部穿刺切片,才確診肺部蛋白質沉積症。
肺部蛋白質沉積症(Pulmonary Alveolar Proteinosis, PAP)是一種肺泡內充滿蛋白樣物質,嚴重阻礙氧氣交換的罕見疾病,發生率僅約百萬分之一。此疾病在早期常無明顯症狀,容易與肺炎、肺纖維化等疾病混淆,導致誤診與治療延誤,因此提高臨床警覺性至關重要。

▲台北慈濟醫院胸腔內科主任藍冑進。
目前醫學對該病的病因仍未完全明瞭,推測與自體免疫系統異常有關。藍冑進說,正常情況下,肺部會分泌表面張力素等蛋白質,協助肺泡維持張開、促進氣體交換,但當這些蛋白質異常累積且無法被自然代謝清除,就會堵塞肺泡,導致缺氧、呼吸困難,可能危及生命,因此召集醫療團隊進行「全肺灌洗術」(俗稱洗肺),魏先生於術後第三日康復出院。
針對此疾病,目前最具療效的治療方式為「全肺灌洗術」(Whole Lung Lavage, WLL)。藍冑進說明,洗肺需在全身麻醉下進行,使用雙腔氣管內管分隔雙側肺臟,讓醫師得以在維持一側肺臟正常通氣的同時,對另一側肺進行灌洗,臨床上通常先清洗結構較單純的左肺,視患者恢復情況,再於數週後灌洗右肺。
由於目前醫學上對於蛋白質沉積症的確切病因仍未釐清,後續是否會復發也無法明確預測。藍冑進提醒,民眾若出現原因不明的呼吸困難、活動耐受力下降、胸悶或易喘等症狀,建議儘早尋求胸腔專科醫師的專業評估,以利及早診斷與介入治療。
讀者迴響