
▲北醫附醫腦下垂體腫瘤免開顱記者會。(圖/記者洪巧藍攝)
記者洪巧藍/台北報導
一名40多歲男性持續出現頭痛、頭暈與複視,原本溫和開朗的個性突然變得易怒、情緒起伏大,就醫才知道顱底深處長有大型腦下垂體腫瘤。醫師指出,腫瘤造成內分泌失衡與腦部結構性壓迫讓性格改變,醫療團隊後續使用經鼻內視鏡微創顱底手術,在無須傳統開顱情況下移除腫瘤,病人術後恢復良好。
收治個案的北醫附醫神經外科醫師陳淑美指出,病人長期出現頭痛、頭暈及複視,並伴隨眼窩壓迫感及鼻出血等症狀,且就診前一年性格開始出現變化,原本溫和開朗的個性不再,取而代之的是易怒、情緒起伏大,與家人關係緊張。
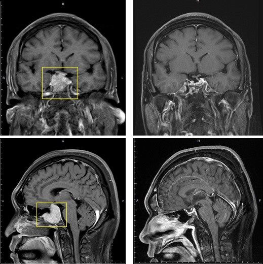
經耳鼻喉科檢查後,於男子鼻腔深部蝶竇處發現息肉樣腫塊,核磁共振(MRI)檢查確認為顱底大型腦下垂體腫瘤(pituitary tumor),腫瘤直徑超過2.5公分,並向顱內上方生長,壓迫視神經及鄰近腦部結構,導致頭暈、頭痛等多項神經學症狀。
陳淑美表示,考量腫瘤位置深且接近重要神經血管結構,決定採經鼻內視鏡微創顱底手術,無需傳統開顱,大幅降低手術風險並加快術後復原;手術於混合式手術室進行,整合高解析內視鏡系統、即時神經導航技術與術中影像設備,可精準定位腫瘤及其與視神經、動脈、腦組織。醫療團隊成功完整移除腫瘤,病理結果證實為泌乳細胞型垂體腺瘤(lactotroph adenoma),術後保留病人視力完整功能亦無產生神經功能缺損。

▲病人術前術後對照圖,黃框處為術前腫瘤位置,術後(右側)腫瘤已消失。(圖/北醫附醫提供)
北醫附醫耳鼻喉科主任林哲玄解釋,耳鼻喉科於術前運用鼻竇內視鏡,評估病人鼻腔與蝶竇,規劃最安全且合適的手術路徑,並於術中協助神經外科醫師自鼻腔進入並開啟蝶竇,提供清晰寬敞的手術視野;同時,運用鼻中隔皮瓣重建顱底術後缺損,有效促進傷口癒合並降低腦脊髓液滲漏風險。術後則透過內視鏡精準清創與追蹤照護,減少鼻腔填塞與結痂的不適,降低感染與併發症發生率。
陳淑美指出,病人術後恢復良好,定期追蹤一年後,核磁共振檢查顯示腫瘤完全消失,無復發跡象,順利重返職場。另外,術後病人也恢復原本溫和開朗的個性,家屬直呼此次手術,不只成功切除腫瘤也改善了家庭關係。
陳淑美解釋,腦下垂體腫瘤造成性格改變,可能同時來自內分泌失衡與腦部結構性壓迫兩大因素;當荷爾蒙分泌失調,或腫瘤向上壓迫下視丘等情緒調控中樞,加上長期頭痛與腦壓不適,都可能導致易怒、焦躁與情緒不穩等行為變化。
陳淑美表示,多數腦下垂體腫瘤目前沒有明確病因,大部分為良性腫瘤,但因腦下垂體位於顱底中央且鄰近視神經,容易因為腫瘤壓迫周圍組織導致頭痛、頭暈、視力缺損,嚴重時還可能影響行走能力。另外,腦下垂體腫瘤也有可能影響荷爾蒙分泌,造成月經異常、不孕或生長激素分泌異常等狀況,民眾若有上述情形建議立即就醫,爭取黃金治療期。
讀者迴響