
▲精神科醫師經由影像檢查及認知功能評估,診斷患者罹患輕度失智症併發精神行為症狀。(圖/亞大醫院提供)
記者洪巧藍/台北報導
一名78歲老翁原本個性樂天開朗,但最近2、3年來變得「怪怪的」,喜歡往事重提,吃過飯卻抱怨都沒煮菜,還懷疑媳婦偷藏錢又在飯裡下毒,經就診檢查發現他的大腦顯著萎縮,確認是「失智症合併精神行為症狀」,在藥物治療後狀況逐漸改善,家庭氣氛也恢復融洽。
根據衛福部最新公布的「台灣社區失智症流行病學調查」指出,目前全台約有35萬名65歲以上的失智長者,也就是每百位65歲長輩中就有8位可能患病,且其中有約三分之二的患者會出現至少一種精神行為症狀,最常見的包括憂鬱、日夜顛倒、焦慮、重複行為以及妄想,尤以「被偷」與「被害」妄想最為常見。
收治個案的亞洲大學附屬醫院精神科醫師吳佳錚指出,失智症是一種進行性的腦部退化性疾病,常見的症狀不只包括記憶衰退、判斷力下降、語言或方向感變差等「認知功能障礙」之外,也會伴隨出現憂鬱、焦慮、失眠、躁動、妄想與幻覺這類「精神行為症狀」,往往讓患者與照顧者雙方都陷入巨大壓力,甚至影響整個家庭的運作。
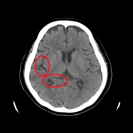
以該名個案的情況來說,已經導致家中爭吵不斷,一度要發生肢體衝突,讓家庭氣氛緊繃到極致,家人們十分困惑與挫折,不得不求助就醫。吳佳錚表示,經透過認知功能量表篩檢後,察覺患者短期記憶已有明顯退化跡象,進一步安排抽血與腦部核磁共振影像檢查,也發現他的大腦顯著萎縮,最終確診為輕度失智症合併憂鬱與妄想等精神行為症狀。

▲腦部核磁共振影像檢查出大腦顯著萎縮。(圖/亞大醫院提供)
所幸經溝通後,患者願意接受「抗失智藥物」、「抗憂鬱劑」及「抗精神病藥物」的多方治療,並透過醫師團隊向家屬說明照顧技巧與情緒支持的衛教指導,患者數月後病情逐漸穩定,記憶退化的速度有所延緩,原先深夜起床藏錢、控訴家人的妄想情況也大為減少,總算讓家庭生活回歸平靜。
吳佳錚提醒,許多長輩因病識感缺乏,不認為自己生病,照顧者若採取責備、糾正或強硬對抗,反而會引發更多衝突,因此治療的第一步就是學習理解失智症的本質與症狀,若能提早發覺上述症狀,盡早就醫評估,就能有效延緩病程、穩定情緒、減輕家庭負擔,千萬不要諱疾忌醫,才能與疾病和平共處。
吳佳錚也建議,降低罹患失智症風險可藉由維持規律作息與睡眠品質、培養運動與社交習慣、多從事腦力活動如閱讀、下棋、均衡攝取富含抗氧化物的飲食做起,同時務必控制三高、避免抽菸與酗酒,也是有效方式之一。
讀者迴響