
▲男子反覆腹痛腹瀉,經檢查發現罹患克隆氏症。(示意圖/CFP)
生活中心/台北報導
35歲男性業務員近1年來反覆腹痛腹瀉,也常因為腹脹導致食慾不佳,嚴重影響工作與日常生活,經檢查後發現是少見的克隆氏症,病人會因為小腸反覆發炎導致腸胃道症狀,所幸治療後,症狀已明顯改善,體重也停止往下掉。
馬偕紀念醫院消化科系胃腸科主任章振旺表示,克隆氏症是一種慢性發炎性腸道疾病,任何年齡層都有可能發生,視疾病侵犯的部位和嚴重程度,可從口腔延伸至肛門任何一處,常見的症狀是腹痛、腹瀉,少數病人會有血便問題,疾病初期容易以為只是單純腸胃炎或腸躁症而被患者忽略。
他說,該名患者經轉診到馬偕醫院後,經由膠囊內視鏡檢查,才發現小腸自空腸至迴腸處,有多處跳躍式病灶與縱向潰瘍,並綜合影像檢查、病理檢查等資訊排除其他可能性,結合患者臨床症狀表現診斷為克隆氏症,經過類固醇與免疫調節藥物治療後,目前患者情況已趨於穩定。

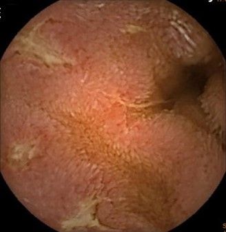
▲膠囊內視鏡下小腸中段的縱向潰瘍。(圖/馬偕醫院提供)
章振旺表示,小腸疾病較難以利用傳統腸鏡檢查一窺全貌,臨床上會仰賴膠囊內視鏡補足此一盲點,對克隆氏症早期發現與評估病灶嚴重程度有極大幫助。
馬偕紀念醫院內視鏡中心主任林煒晟表示,膠囊內視鏡大小如常見的魚肝油,裝有微型攝影機,吞服後經自然腸胃腸蠕動通過患者的胃腸道,全程拍攝消化道影像並回傳影像,檢查毋須住院,不影響病人日常生活作息,視患者狀況檢查約8至15小時完成,膠囊在24至48小時即隨糞便排出體外,全程無痛。
林煒晟表示,膠囊內視鏡不僅能協助克隆氏症診斷,也可用於尋找小腸不明出血來源、小腸腫瘤等病變,且具有侵入性低、視野廣、病人舒適度較高等優點,但對於腸道已狹窄、有阻塞風險或懷孕婦女、裝有心律調節器者則不建議使用,提醒在執行時應與主治醫師討論評估後再進行。

▲膠囊內視鏡大小如魚肝油,更是一台微型照相機。(圖/馬偕醫院提供)
馬偕紀念醫院消化系科持續推動精準醫療與新技術應用於解決病人腸胃道疾病,早期診斷早期治療,結合膠囊內視鏡與跨專科團隊合作,為克隆氏症患者提供更快速的評估與個別化治療計畫,讓病人不再徘徊於「找不到病因」的困境中。
章振旺提醒,若反覆發生腸胃道症狀且時間持續超過1至2個月都未好轉,應有警覺盡快至醫院檢查,詳細告知醫師病史以利醫師診斷,雖然克隆氏症目前仍難以完全治癒,但患者若能積極配合治療計畫,並定期回診追蹤,即使急性期緩解仍配合醫囑持續服用免疫調節藥物,不自行停藥避免再次惡化的情況下,均能穩定控制病情,保有良好的生活品質。
讀者迴響