
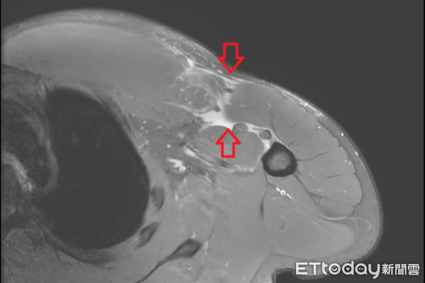
▲一名男性健身意外發生「右側胸大肌斷裂」。(圖/院方提供)
記者趙于婷/台北報導
27歲的林先生有規律的健身習慣,某次臥推訓練後,在放槓鈴的瞬間,突然感到右側胸口劇烈疼痛,右上肢越發無力,伴隨瘀青腫脹,就醫檢查才發現是「右側胸大肌斷裂」,隨即安排胸大肌肌腱縫合手術。醫師提醒,胸大肌斷裂屬於相對罕見的運動傷害,臨床症狀包括急性劇痛、局部腫脹與瘀青、患側力量明顯下降等。
台北慈濟醫院骨科醫師李奕澄指出,胸大肌位於人體胸前表層,是覆蓋胸壁最外層、體積最大的肌肉之一,從胸骨與鎖骨一路延伸至上臂,負責肩關節內收與內旋,是執行推舉與支撐等上肢功能的重要肌群,當手臂處於外展、外旋狀態,又同時承受高重量時,胸大肌肌腱所承受的拉扯力量加劇,斷裂風險隨之增加。
李奕澄說明,胸大肌斷裂屬於相對罕見的運動傷害,主要發生在20~40歲、長期從事重量訓練的族群,臨床症狀包括急性劇痛、局部腫脹與瘀青、患側力量明顯下降等,外觀上也可能出現兩側胸部不對稱,若未及時治療,斷裂的肌腱可能逐漸回縮並產生沾黏,不僅上肢推舉與支撐力量會受損,外觀變形也可能成為永久性改變。
在治療上,過去以傳統經骨縫合手術為主,需要在胸骨上鑽數個孔洞,再將斷裂的肌腱經孔洞縫合至原位。而近年則多採用縫線錨釘或皮質鈕扣等醫材進行固定,能減少對骨頭與周邊組織的破壞。但術後仍需依照醫師指引進行復健,胸大肌修復後多數病人可望半年內回到運動或工作,但實際時程仍需視受傷程度與復健遵從性而定。
李奕澄提醒,民眾進行健身訓練務必循序漸進,增加重量與次數前一定要先確認姿勢正確,也要做好足夠暖身,且避免疲勞狀態下操作,若在臥推或推舉動作中出現胸口劇痛、患側明顯無力時應停止運動,並盡快就醫評估,以免造成進一步的傷害。
讀者迴響