
▲徐振恆醫師指出,後十字韌帶撕脫性骨折若未即時和正確治療,可能導致膝關節。(圖/記者游瓊華翻攝)
記者游瓊華/台中報導
台中一名28歲男子在一場車禍中,當場左膝劇痛腫脹、無法站立,連彎曲動作都困難,送往仁愛長庚合作聯盟醫院急診。確診後為「後十字韌帶撕脫性骨折」,臨床上多見於交通事故撞擊。幸經院方評估後安排關節鏡輔助復位固定手術,患者術後隔天即可下床行走並展開復健,約兩個月已恢復日常生活功能。
這名黃先生是在騎機車上班途中發生車禍,送醫後初步X光檢查顯示膝關節骨折,進一步確認為「後十字韌帶撕脫性骨折」,屬於韌帶連同骨塊被拉離原位的複合型損傷。收治個案的骨科醫師徐振恆指出,台灣機車通勤人口龐大,交通事故中除了常見擦傷與骨折,膝關節韌帶損傷其實並不少見,其中後十字韌帶撕脫性骨折常發生在跌倒瞬間膝蓋彎曲、脛骨遭受向後撞擊時。
這類患者多半出現腫脹、疼痛、關節無力與不穩感,即使勉強撐拐杖也難以承重。若未及時診斷與治療,可能造成長期關節不穩,甚至增加日後退化性關節炎與功能障礙風險。醫師說明,傳統開放式手術須在膝後方切開超過10公分傷口,但該區域神經與血管密集,術中風險與術後復原負擔都較大,病患可能面臨肌肉萎縮、關節沾黏或僵硬等問題。
近年隨著關節鏡技術成熟,醫師可透過膝前數個約1公分的小切口進入關節,在高解析影像下精準復位骨折並固定,同時保留韌帶完整性,也降低傷及後方神經血管的可能。若同時合併半月板或軟骨損傷,也能一次處理,提高關節穩定度與長期活動表現。
院方表示,微創方式能減少正常組織破壞、降低疼痛與感染機率,患者通常能較快開始復健與恢復日常活動。黃姓男子案例中,術後翌日即能在醫護陪同下站立行走,復健過程順利,顯示及早診斷與適當手術方式對預後影響顯著。
醫師提醒,民眾若在車禍或跌倒後出現膝蓋腫脹、劇痛、無力或不穩感,即使外觀沒有明顯變形,也應盡速就醫檢查。部分韌帶與關節內損傷單靠X光未必能完全判斷,仍需透過進一步影像檢查確認。及早介入治療不僅能縮短復原時間,也能降低慢性疼痛、關節退化與功能受限的風險。

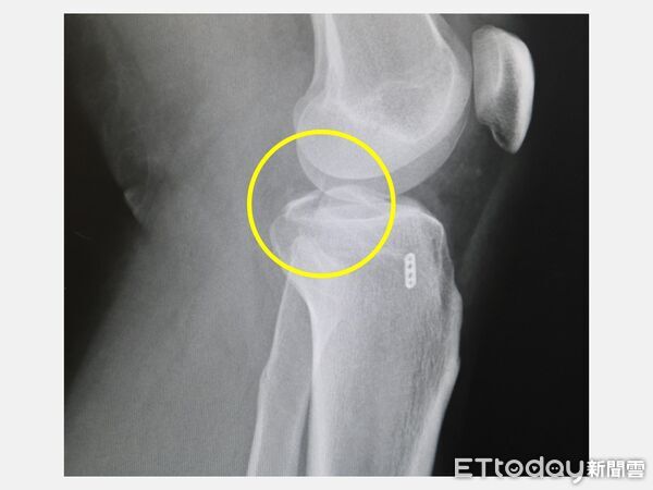
▲X光顯示,左膝脛骨後十字韌帶撕脫性骨折(圓圈處)。(圖/記者游瓊華翻攝)
讀者迴響