
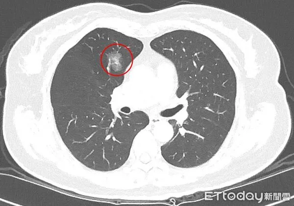
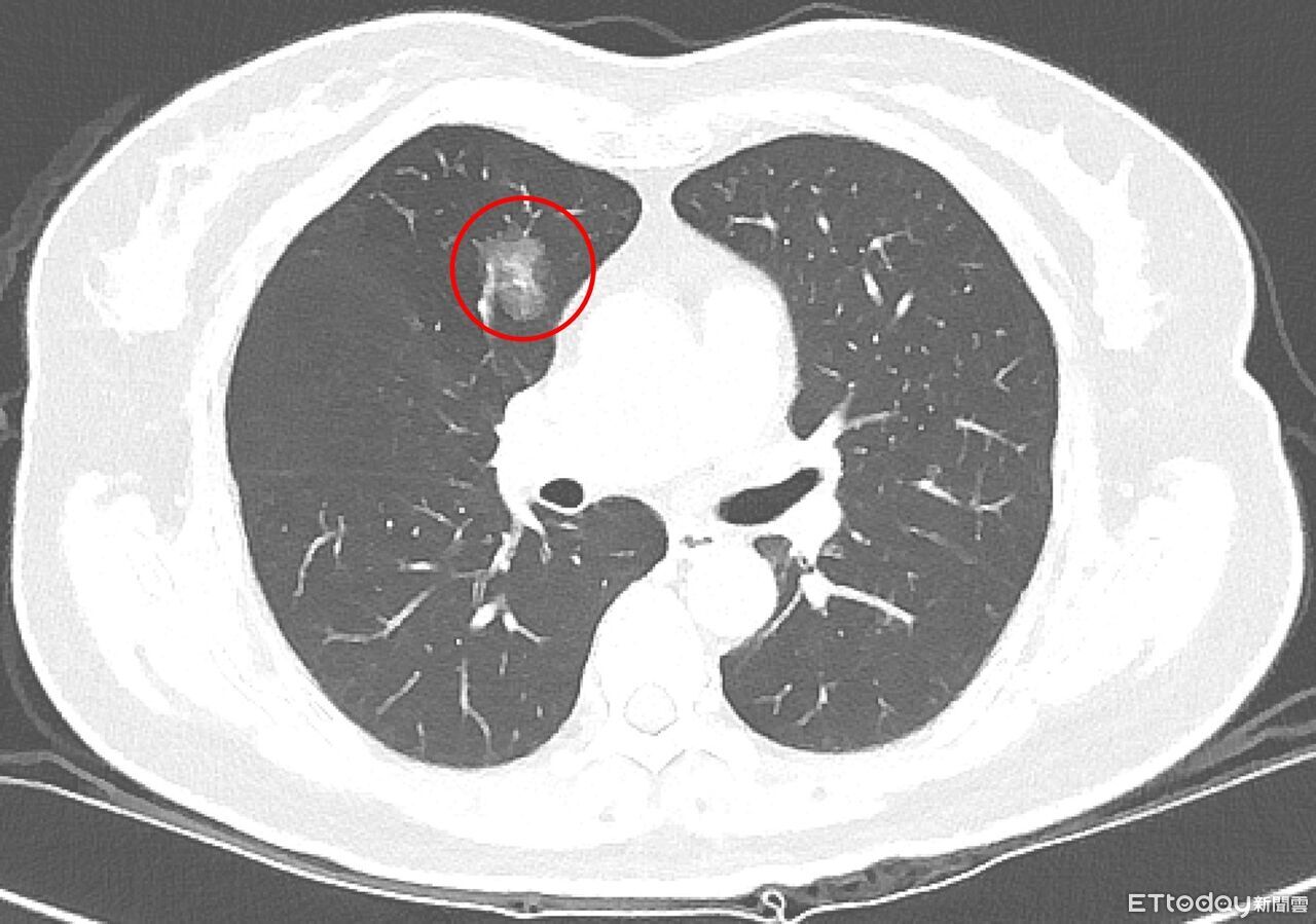
▲極早期的微小肺部結節。若醫師難以判讀,應定期追蹤。(圖/台北慈院提供)
記者邱俊吉/台北報導
肺癌低劑量電腦斷層(LDCT)篩檢愈來愈普及,某些人覺得太早期發現個案,對患者恐造成困擾,但台北慈濟醫院最新研究顯示,其實肺部結節若進入手術、切片確認的階段,最後結果高達2/3為惡性,且早期肺癌生長速度緩慢,1年僅約增加0.1公分,這凸顯影像判讀、處置決策都不容易,民眾也不能掉以輕心。
[廣告] 請繼續往下閱讀.
這項研究由台北慈院胸腔內科主治醫師吳智偉進行,研究回溯分析2013至2018年間、到該院接受LDCT篩檢共6997人,並追蹤至2023年,結果顯示,接受手術或切片的腫瘤中,約2/3為惡性,且以肺腺癌最常見。
研究進一步分析發現,發現的良性病灶多為纖維化及炭粒沉積,其與過去感染、發炎留下的疤痕,以及空氣污染微粒吸入累積有關,但影像與早期肺癌相似,單靠影像往往難以區分良、惡性;此外,約13%的良性腫瘤是在追蹤期間以新發生病灶出現,也增加初期判讀難度。
此外,研究指出,部分早期肺癌生長極為緩慢,每年僅增加約0.1公分,若追蹤時間不足,可能低估風險,即使醫師會綜合結節大小、影像型態、生長變化及個人風險因子進行判斷,卻仍難避免不確定性。研究相關成果已發表於國際醫學期刊《International Journal of Medical Sciences》。
吳智偉舉例,一名64歲女性無抽菸習慣、無家族史,健檢發現1.2公分肺結節,後來持續追蹤7年,增至1.4公分,最終決定手術,才確診為第1期肺腺癌;因屬早期發現,術後無需化療,恢復良好,也顯示長期追蹤有助掌握變化、及時處置。
[廣告] 請繼續往下閱讀..
吳智偉提醒,早期的結節因體積小,部分甚至無法進行切片,目前多以0.8公分作為基本判斷門檻;當影像一時難以判讀,更應規律追蹤,若後續擴大或特徵改變,再與醫師討論是否進一步治療。