
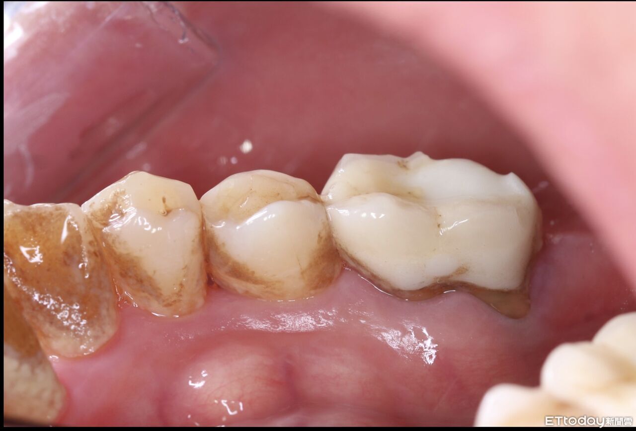
▲女患者未確實清潔牙齒,除了牙齒上有深色茶漬外,牙齒底部有明顯的牙菌斑。(圖/恩主公醫院提供)
記者李佳蓉/綜合報導
根據國健署資料顯示,台灣35歲以上成人中,高達90%以上曾出現不同程度的牙周病變。牙醫師趙冠齊指出,許多民眾認為「一天刷3次牙」代表有做好口腔保健,事實上清潔的質量遠比刷牙的次數重要,當出現「7大跡象」如牙齦容易腫脹、口臭持續加重、牙縫變大等等,都是牙周健康惡化的警訊,不可忽視。
[廣告] 請繼續往下閱讀.
恩主公醫院牙醫部趙冠齊醫師分享,一名60多歲的女主管因工作繁忙、三餐在外、作息不規律,雖然每天都有刷牙,但多年來刷牙方式不正確,加上清潔牙縫不足,使牙菌斑長期堆積,直到牙齦腫痛、部分牙齒動搖才求診。經X光檢查發現,她的牙齒齒槽骨已出現大範圍吸收,屬於牙周病惡化的後期表現。
趙冠齊說明,若牙齦出現容易腫脹、按壓不適感、刷牙或吃東西後總覺得不夠乾淨,或是口臭持續加重、牙齒開始出現輕微晃動、牙縫變大、牙齦退縮等狀況,都是牙周健康惡化的警訊,甚至有些人會發現牙齒排列逐漸改變或出現縫隙,這些都是發炎長期破壞牙周組織的徵兆。他提醒,牙周病雖屬慢性,但造成的骨頭與牙周組織破壞多半不可逆,「越早處理,越能保留原生牙齒的功能。」
▲牙齒清潔的質量遠比刷牙的次數重要。(示意圖/記者李佳蓉攝)
[廣告] 請繼續往下閱讀..
趙冠齊提醒,許多人認為有刷牙就夠了,但若沒有清到牙齦邊緣與牙縫,細菌就會在看不到的地方持續發炎。他表示,刷牙時應確實清潔牙齒外側、內側、咬合面與牙齦邊緣,至少有一次要做到「完整且細緻的清潔」。若牙縫較小,使用牙線會較恰當;若牙縫偏大或牙周支撐組織已退縮,牙間刷能更有效移除深處堆積的牙菌斑。
趙冠齊也呼籲,牙周病並非無法避免,關鍵在日常的清潔與定期追蹤,建議每3~6個月進行一次口腔檢查與洗牙,養成正確的刷牙方式並確實清潔牙縫;若出現牙齦腫脹、不適或刷牙後仍覺得口腔不夠清潔,都應盡早尋求牙科協助。