
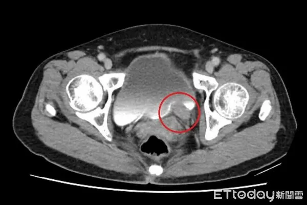
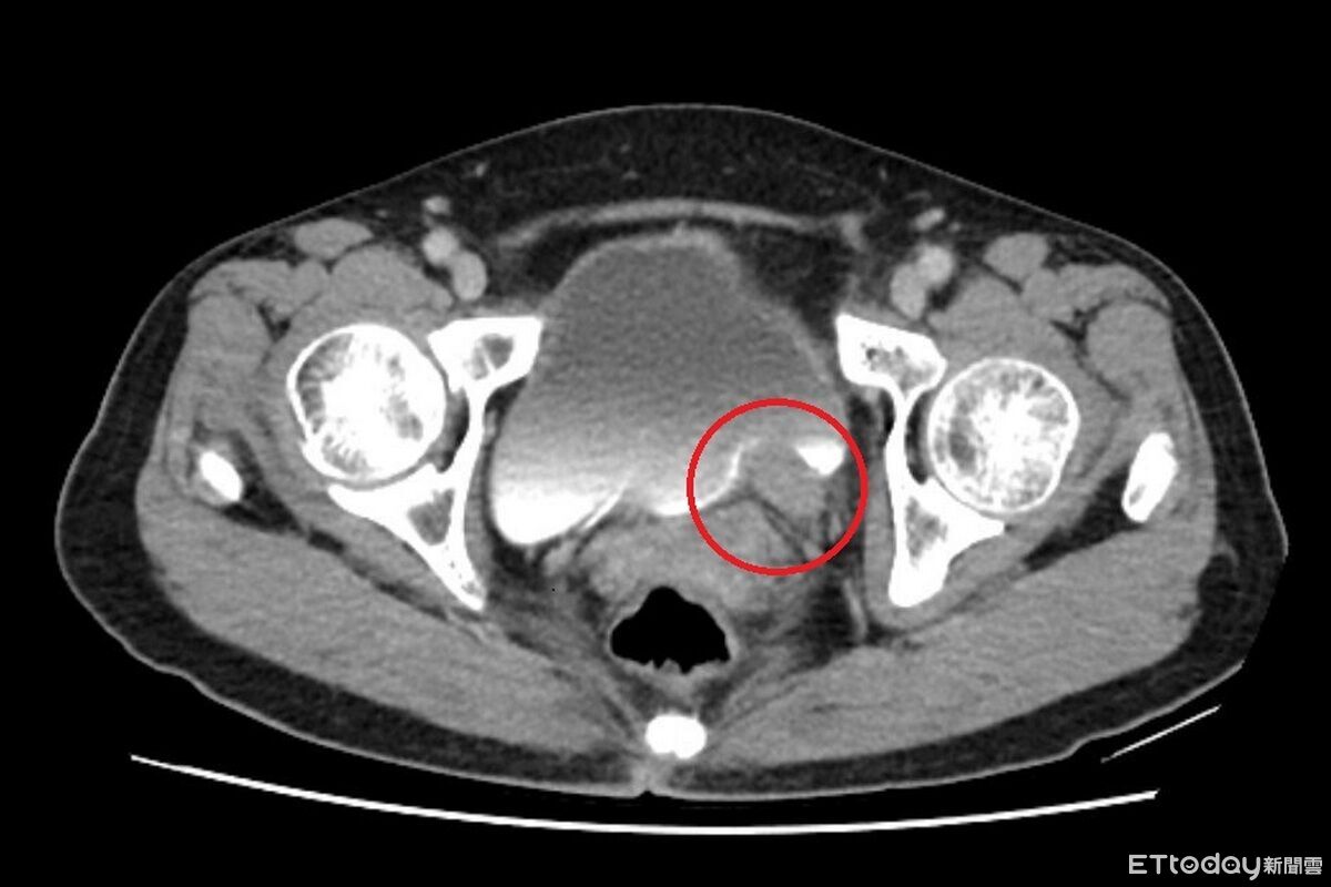
▲一名女性出現無痛性血尿,竟是輸尿管泌尿上皮癌。(圖/院方提供,下同)
記者趙于婷/台北報導
67歲的林女士近期出現間歇性的無痛血尿,到醫院檢查發現左側輸尿管末端長了一顆5公分的腫瘤,且有腎水腫情形,確診為「輸尿管泌尿上皮癌」。醫師指出,長期吸菸、處於環境汙染及具家族史者都是危險因子,該癌症狀並不明顯,常見表現為無痛性血尿,若置之不理,腫瘤可能造成阻塞及腎衰竭、遠端轉移。
[廣告] 請繼續往下閱讀.
台北慈濟醫院泌尿科醫師許竣凱指出,輸尿管是連接腎臟與膀胱的重要管道,負責將腎臟產生的尿液順利輸送到膀胱儲存與排出,根據衛福部統計,泌尿上皮癌發生率每十萬人中約有40~50例,臨床上會以尿液檢驗、膀胱鏡、超音波與電腦斷層進行診斷,排除泌尿道感染、輸尿管結石等會伴隨疼痛的血尿後,就要高度懷疑腫瘤的可能。
許竣凱說明,泌尿上皮癌的治療方式多元,包括手術治療、化學治療、免疫療法及標靶治療等,會視腫瘤期別、位置及腎功能等病況綜合評估,手術又有腹腔鏡及達文西手術等選擇,雖然腹腔鏡手術具備傷口小、恢復快的優點,但受限於視野與操作難度,因此目前多以視野清晰、操作靈活的達文西手術為主流。
許竣凱進一步舉例,以該案例來看,其腫瘤位於下段輸尿管,在化療成效良好的情況下,只需切除病灶,再將膀胱提起與輸尿管相接,完成重建,一般來說,若經完整切除,病人的五年存活率可達9成,但仍需定期追蹤,以降低復發風險。
他提醒,由於泌尿上皮癌症狀並不明顯,建議高風險族群應定期接受健康檢查,如出現血尿也要尋求專業醫師診斷,及早發現才能降低腎功能惡化與癌症擴散風險。
[廣告] 請繼續往下閱讀..
▲台北慈濟醫院泌尿科醫師許竣凱。