
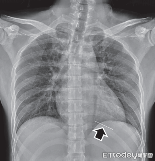
▲男子遭釘槍射入左心室,從X光片可見有異物緊臨心臟 。(圖/賴雨濃醫師提供,下同)
記者邱俊吉/台北報導
「一箭穿心」發生在真實世界竟能保命。一名37歲男性遭釘槍射入左心室,急診醫師最初僅在左胸看到小傷口,X光片則有異物陰影,以「重點式照護超音波」一掃,才發現異物已插入左心室,隨即緊急手術、取出釘子;醫師說,左心室穿刺傷罕見能活著到醫院,救回一命更少,病人真的命大。
[廣告] 請繼續往下閱讀.
收治病例的中壢天晟醫院急診醫學科主任賴雨濃說,穿刺性心臟傷勢相當少見,僅佔所有創傷0.1%,但死亡風險極高,特別是左心室受創;根據文獻記載,左心室穿刺傷光是能活著進醫院也只有2%左右,經及時治療有多少個案能保命,更是少到沒有統計數字,此例也是他行醫以來首次見到。
對此幸運案例,賴雨濃回憶,患者當時送來已恢復意識,但持續躁動且多汗,只能模糊交代傷勢原因;在初步檢查中,發現他的左胸乳頭內側有微小穿刺傷,不過出血極少,也查無異物,胸部X光則顯示心臟左側有陰影,急診團隊隨即在床邊使用重點式照護超音波(POCUS)以進一步確認異物位置。
賴雨濃說明,與一般超音波如腹部超音波全面掃描腹腔不同,POCUS僅掃描醫師認為有疑慮的重點區域,而當時很快便在左心室內發現明顯亮點,且心包膜有積血現象,顯示心臟已有穿孔、出血。
▲重點式照護超音波顯示左心室內有病灶(下方箭頭尖),推測為異物,造成心包膜積液厚度約5.6毫米(上方箭頭)。
[廣告] 請繼續往下閱讀..
賴雨濃也說,這名患者很幸運,長度約4.5公分的釘子沒入體內,卻沒有傷及重要血管,最後卡在心臟肌肉裡,但必須緊急治療,否則心包膜持續積血,恐壓迫心臟,導致休克、死亡,為此醫療團隊立即啟動轉院機制,將人送到鄰近的長庚醫院手術,緊急取出釘子並修補心臟,才成功締造這起奇蹟案例。
此外,賴雨濃說,POCUS無須移動病人,可快速協助醫師判斷有無心臟傷害,是搶救生命徵象不穩個案的重要武器,也是此患者生還的「功臣」。
針對所有穿刺傷,賴雨濃提出以下4點建議:
[廣告] 請繼續往下閱讀...
●切勿拔除異物:異物可能正好卡在出血點上,若自行拔除,恐瞬間大量出血,導致休克,甚至死亡,故僅應設法固定,並儘速送醫。
●別強行喚醒傷者,且勿進食、喝水:昏迷患者可能無法吞嚥,強灌食物或水恐造成嗆咳。
●儘速撥打119,由專業人員搬運:自行移動傷者可能使異物移位,加重出血風險,應由急救人員以適當方式固定、搬運。
●「心臟盒子」區域有傷口要特別警覺:任何位於鎖骨下、乳頭內側、胸骨旁、肋骨邊緣以上的刺傷,都應懷疑可能涉及心臟,須儘速評估、排除。
賴雨濃表示,這類外傷表面輕微,但不可輕忽體內風險,呼籲民眾謹記前述建議,以協助更多患者及早診斷、迅速處理,將風險降到最低。