
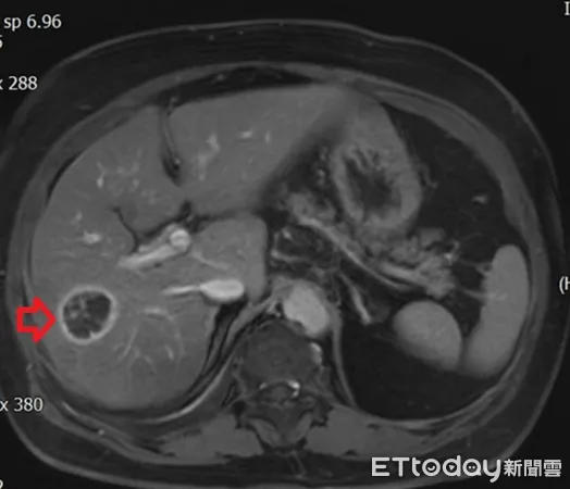
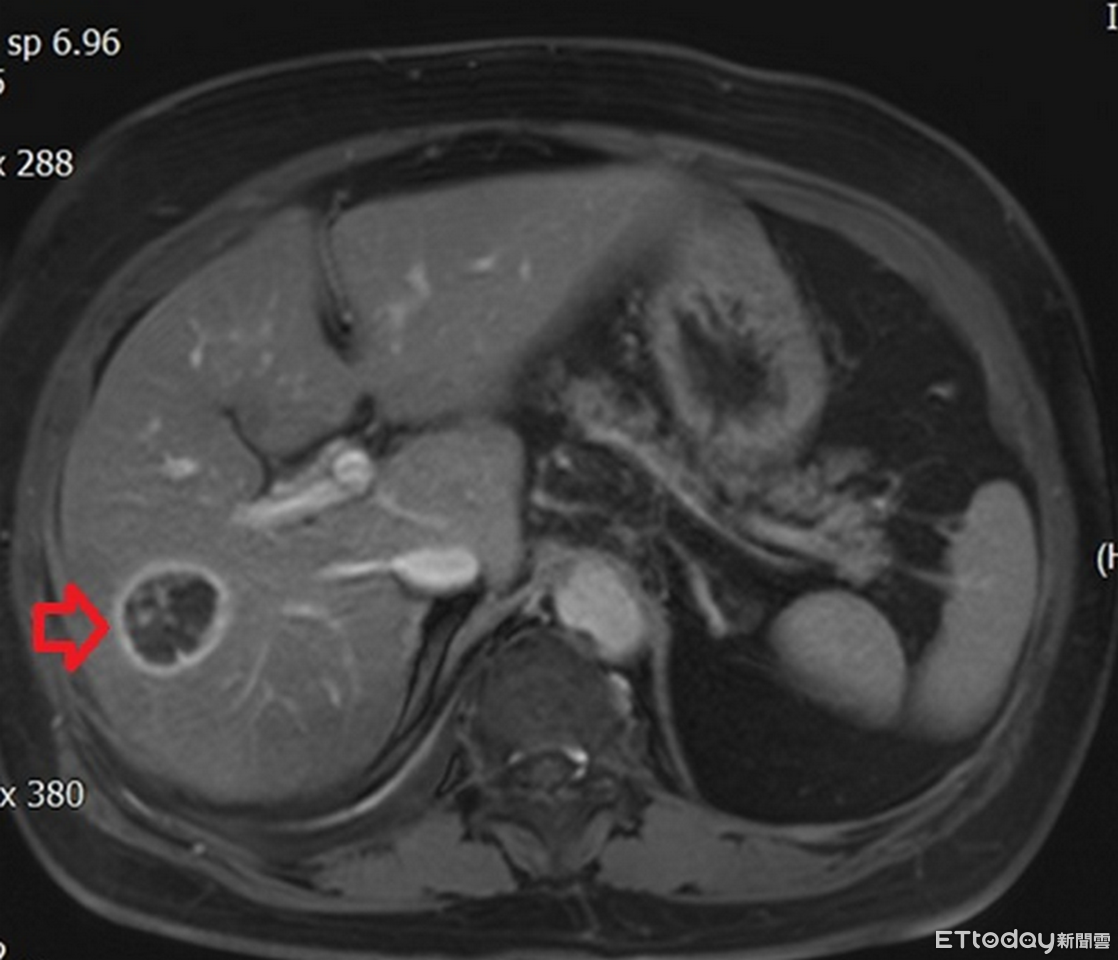
▲年近8旬患者患有多重慢性病,檢查又發現肝癌。(圖/醫師提供,下同)
記者趙于婷/台北報導
年近8旬的許奶奶患有慢性肺病、心臟衰竭、糖尿病、高血壓等多種慢性疾病,半年前回診發現肝指數過高,感染科醫師遂安排腹部超音波檢查,結果發現脂肪肝及肝臟一顆約3公分大腫瘤。醫師指出,考量患者肝功能及身體狀況,手術風險高,醫療團隊以腫瘤射頻燒灼術治療,許奶奶也在術後3天平安出院。
[廣告] 請繼續往下閱讀.
台北慈濟醫院胃腸肝膽科醫師陳泓達表示,隨著年齡增長,病人免疫系統功能下降,對癌細胞的監控與清除能力也隨之降低,癌變機率增加,而肝癌的早期症狀並不明顯,往往要到腫瘤增大甚至破裂或病情達中後期才會有腹痛、噁心、腹水與黃疸指數過高等情形,若沒有及時就醫診治,腫瘤可能侵犯血管或發生遠端轉移,或腫瘤破裂出血等相關病症。
「B型肝炎、C型肝炎、肝硬化、脂肪肝或有肝癌家族病史者」是肝癌的好發族群。肝臟主要有營養代謝儲存、製造膽汁、分解毒素以及凝血的作用,是人體相當重要的器官,據國健署統計,台灣每年約有10,000人確診肝癌,7,700人因肝癌死亡,高居癌症發生率第三名及死亡率第二名,其中男性是女性的1.5倍。
▲台北慈濟醫院胃腸肝膽科醫師陳泓達。
[廣告] 請繼續往下閱讀..
肝癌的診斷除了觀察臨床表現外,還需藉由抽血檢查檢驗肝功能狀態,並利用腹部超音波、電腦斷層或核磁造影等相關檢查確認腫瘤型態、大小以及是否有轉移。在手術治療方面,除了傳統開腹手術、微創腹腔鏡或達文西手術外,尚有腫瘤射頻燒灼術的選擇,主要運用於腫瘤小於2至3公分的患者或心肺功能無法負荷麻醉或手術風險較高的病患。
以許奶奶為例,慢性疾病較多、身體機能較差,經多團隊會議及家屬溝通後,射頻燒灼術治療是最妥適的選擇。陳泓達指出,射頻治療的治療時間約落在數十分鐘左右,對病人的影響較輕,在審慎評估後適用的病患族群預後效果與其他手術相當,是肝癌治療的另一種選擇。
陳泓達提醒,40歲以上民眾可考慮每年定期進行肝臟檢查;B型、C型肝炎者每半年追蹤一次;肝硬化病人因罹癌風險高,應每三個月密集檢查。此外,肝癌治療須視病人身體狀況及腫瘤大小、顆數及位置而定,民眾若檢查發現癌症前兆或有腹痛等症狀,務必尋求專業醫師診斷,選擇最妥適的治療方案。