
▲AI輔助心電圖檢測服務。(圖/北市聯醫提供)
記者趙于婷/台北報導
AI醫療科技應用日益普及,一名62歲世界壯年運動會參賽者馬先生在開幕當天進行「AI輔助心電圖檢測服務」,意外發現異常,隨即取消賽事報名,進一步做心導管發現冠狀動脈已有90%狹窄,立即緊急進行手術,成功避免風險。
[廣告] 請繼續往下閱讀.
林森中醫昆明院區江碩儒副院長表示,北市聯醫在2025雙北世界壯年運動會博覽會設有「智慧健康體驗園區」,提供AI輔助心電圖檢測服務,馬先生計畫參加比賽,於開幕首日前往進行AI輔助心電圖風險預測體驗,AI預測結果顯示其未來三個月內有多項中度心血管風險指標,且血管年齡預測超出實際年齡達10歲以上。
經現場醫師即時進行問診並建議進一步檢查,隨即安排世壯運心臟檢查綠色通道進行心導管檢查,馬先生也主動取消原定賽事報名。
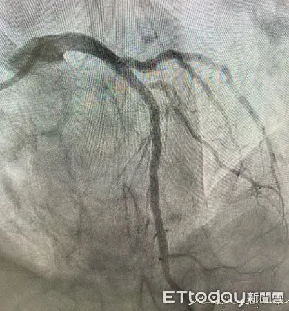
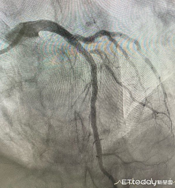
果然在心導管檢查後,顯示其冠狀動脈左前降支中段出現高達90%的嚴重狹窄,當日即施行血管擴張與支架置放手術,術後馬先生症狀明顯緩解,成功避免了可能發生的重大心血管事件。
江碩儒指出,此案例顯示AI技術可協助醫療人員提早發現潛在心血管病變,透過即時介入治療,降低運動賽事中發生遺憾事件的風險,未來AI輔助系統將為醫療服務帶來更高的診斷準確性與創新應用,協助民眾在日常生活中即時掌握健康狀況,打造更完善的智慧健康照護網絡。
[廣告] 請繼續往下閱讀..