
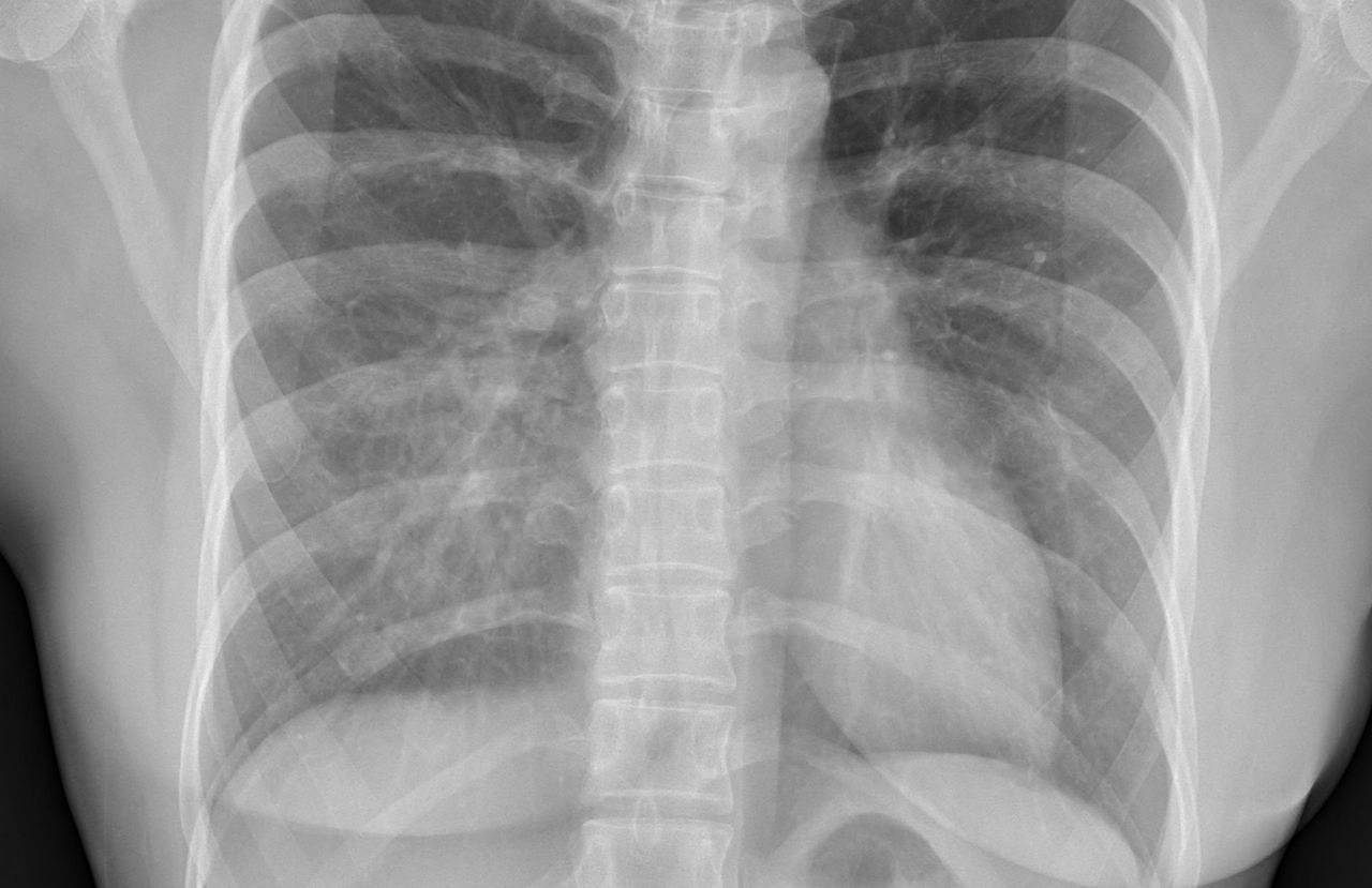
▲患者的X光片。(圖/翻攝蘇一峰臉書)
記者陳俊宏/綜合報導
胸腔科名醫蘇一峰分享,一名40歲女性容易喘一陣子了,X光長這樣,讓大家猜看看是什麼問題,答案是「漏斗胸」(胸廓變形),「因為肺被擠壓,所以看起來肺變白,看起來像肺炎。」
[廣告] 請繼續往下閱讀.
蘇一峰在臉書貼出患者的X光片,「其實我靠這張X光就可以診斷了,大家覺得是肺炎嗎?不知道AI會不會!?」
蘇一峰後來公布答案,「這個女性病人答案是「漏斗胸(胸廓變形)」,完完全全沒有肺炎喔,你猜對了嗎?」
▼蘇一峰說,一般人的X光下的肋骨是120度轉彎,但漏斗胸胸廓變形的人,各個肋骨會90度彎曲。(圖/翻攝蘇一峰臉書)
蘇一峰解釋,漏斗胸胸廓變形的患者,因為肺被擠壓,所以看起來肺變白,看起來像肺炎;此外,還有一個重要的判斷特點,病人的肋骨在X光下面比較呈現直角轉彎,一般人X光下的肋骨是120度轉彎,但是這種漏斗胸胸廓變形的人,各個肋骨會90度彎曲。
[廣告] 請繼續往下閱讀..
嘉基醫院胸腔外科醫師甘錦康曾受訪表示,漏斗胸是一種先天性胸廓畸形,會壓迫心肺,影響呼吸功能;因為病人的胸前會有不正常的凹陷,像是可盛水的漏斗而得名,發生的確切原因目前不明。
甘錦康指出,需要評估病人的凹陷狀況、位置及是否有不適感,來決定治療方式,若進行手術,可提高心肺功能,有效改善外觀及減輕心理壓力。他提醒,平均每300、400人就有一位罹患漏斗胸,男性發生機率大約是女性的4倍。