
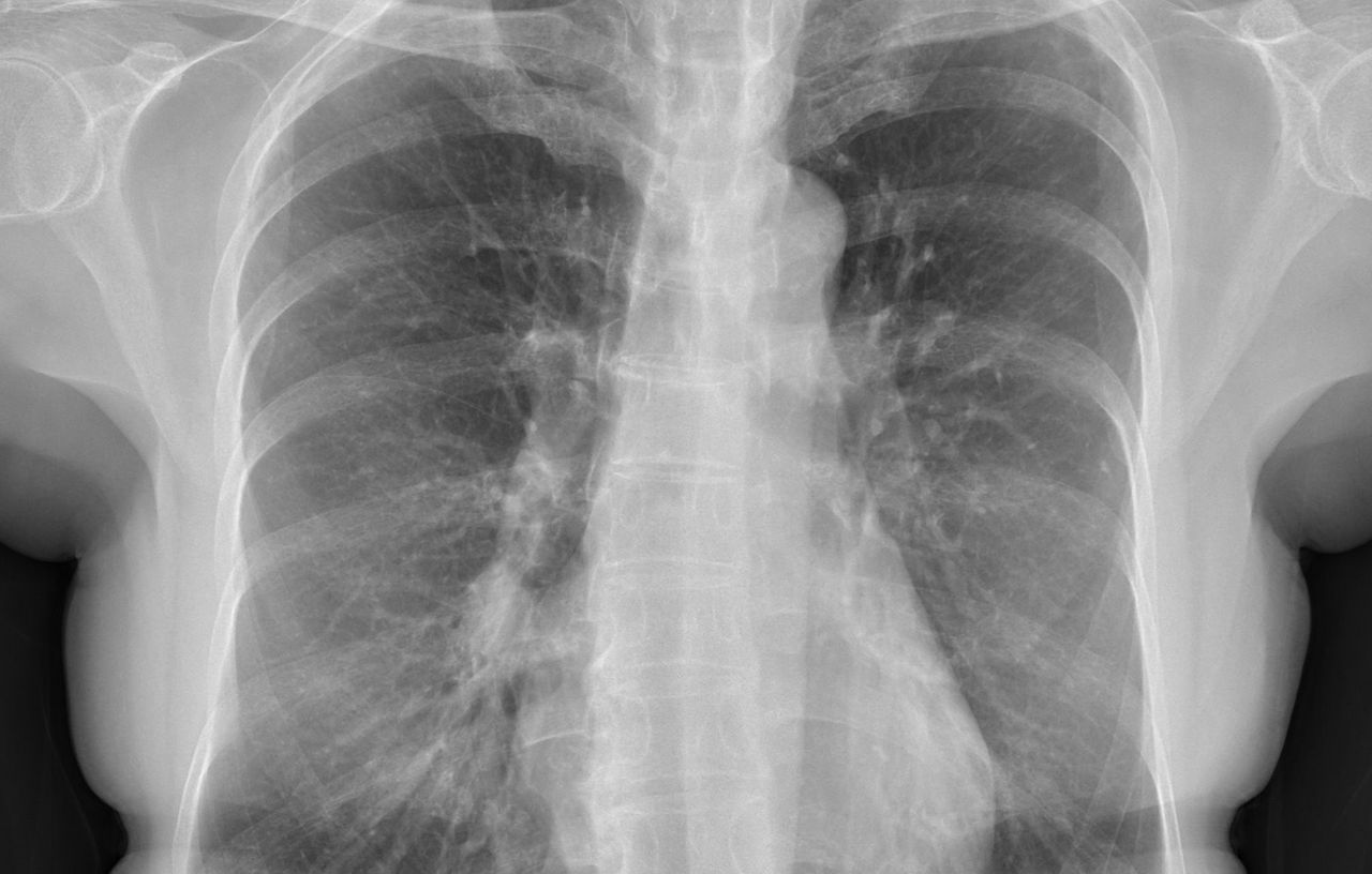
▲醫師說,X光片有問題,「讓大家找看看在哪裡」。(圖/翻攝蘇一峰臉書)
記者陳俊宏/綜合報導
胸腔科名醫蘇一峰分享,一名60歲不抽菸女性患者,輕微的咳嗽半年多沒好,結果進行電腦斷層,發現是3公分的肺癌,大概第二期或三期。
[廣告] 請繼續往下閱讀.
蘇一峰在臉書說,患者期間去過其他醫學中心,照X光看了沒事,判斷可能是長新冠,但治療還是咳嗽沒有好,後來來他的門診。
▼紅圈處是3公分肺癌。(圖/翻攝蘇一峰臉書)
蘇一峰指出,X光一照看完覺得有問題,「讓大家找看看在哪裡」;安排後續的電腦斷層CT檢查,發現是3公分的肺癌,大概第二期或三期。
[廣告] 請繼續往下閱讀..
蘇一峰表示,當胸腔科醫師,門診X光片壓力很大,以前住院醫師訓練的時候,「老師教我們不要隨意幫病人照X光,開了一張X光,醫師拿不到一毛錢,之後卻可能要負擔無比大的責任。」