
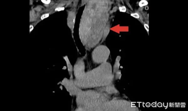
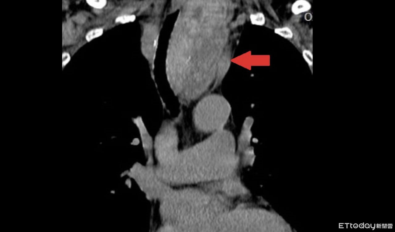
▲黃女士甲狀腺結節如芭樂大,已經擠壓氣管。(圖/醫師提供)
記者趙于婷/台北報導
74歲黃女士10年前因右側甲狀腺結節問題,在醫院接受手術切除,3年前又發現左側結節逐漸增大,出現吞嚥困難、頸部腫脹,再度檢查發現結節已經侵犯胸腔,氣管已經被13公分如「芭樂般大」的結節壓迫偏移至右側,進一步安排手術切除。
[廣告] 請繼續往下閱讀.
收治該病例的台北慈濟醫院胸腔外科醫師洪嘉聰指出,黃女士左側結節切片數次均屬良性,原本想說在未影響生活的情況下,選擇持續觀察,但之後因出現不適症狀,檢查發現已經擠壓氣管,雖呼吸未受影響,但仍評估手術切除。
洪嘉聰說明,甲狀腺位於頸部正中央,靠近喉部和氣管兩側,分左右兩葉,主要功能是分泌甲狀腺素,調控人體的新陳代謝、體溫維持及能量消耗,對人體運作至關重要。
根據國外統計,甲狀腺結節的盛行率約為4%,女性發病率高於男性4倍,但儘管大部分結節屬於良性,仍有5%的機率會發展成癌症。臨床上長至胸腔的甲狀腺結節並不常見,許多患者也未有明顯症狀,通常只有當結節壓迫氣管、食道、喉返神經或其他重要結構影響呼吸、吞嚥甚至聲音沙啞等狀況,才需要進行手術切除。
甲狀腺在人體的功能相當重要,倘若摘除,必須終身服用甲狀腺素維持人體所需的新陳代謝,但甲狀腺結節發生原因尚無確切說法。洪嘉聰提醒,民眾平時可以自行觸摸頸部檢查,若發現腫塊,應儘早就醫評估,透過影像學檢查確認腫塊特性,及早診治,避免腫瘤增大壓迫呼吸道、食道或神經,影響生活功能。
[廣告] 請繼續往下閱讀..