
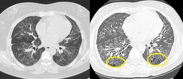
▲蔡秉翰指出病人發病初期下半肺部出現發炎與浸潤(左圖),後期進展為纖維化形成蜂窩狀之空洞(右圖)。(圖/土城醫院)
記者洪巧藍/台北報導
50歲李小姐原先患有乾燥症,近期因天氣變化感冒,久咳不癒,以為是肺炎,服用抗生素一個月仍未痊癒,經就醫安排肺功能測試及電腦斷層掃描,最終診斷為結締組織疾病相關「間質性肺病」。醫師提醒,此為自體免疫疾病可能引起併發症之一,若有呼吸困難、咳嗽、疲倦、胸痛不適等7症狀,應該注意儘早就醫釐清。
[廣告] 請繼續往下閱讀.
土城醫院風濕過敏科主任蔡秉翰指出,類風濕性關節炎、全身性紅斑狼瘡、硬皮病、乾燥症、皮肌炎/多發性肌炎、混合型結締組織疾病等常見的自體免疫疾病,皆屬於結締組織疾病,許多患者在治療的過程中,往往著重於治療疾病本身,卻忽略自體免疫疾病可能會引起的併發症,其中「結締組織疾病相關間質性肺病」便是最容易被忽視的問題之一。
蔡秉翰指出,結締組織疾病相關間質性肺病的發生,通常是因為自體免疫反應所引起的肺部間質病變,主要是免疫系統攻擊正常的肺部細胞,導致肺部間質(即肺泡與血管之間的結締組織)發炎和纖維化,進而使肺部的氣體交換功能受損,嚴重則會合併急性呼吸困難。
至於相關治療,蔡秉翰說,目前治療的目標是減少發炎、控制免疫反應並延緩或防止肺部纖維化,可使用免疫抑制劑、生物製劑、抗纖維化治療、氧氣治療、肺部復健等,若能早期診斷並積極治療,部分患者可維持良好生活品質;但在某些重症患者中,若其他治療無效、肺功能嚴重下降,可能需要考慮肺移植作為最終治療選擇。
蔡秉翰提醒,若本身患有自體免疫疾病,合併有呼吸困難(尤其是運動後加劇)、咳嗽(通常為乾咳)、疲倦、體力不支、胸痛不適、低燒、杵狀指(手指或腳趾末端變寬和變圓),建議儘早就醫找出疾病發生原因。
[廣告] 請繼續往下閱讀..