
▲老伯肝臟有顆9公分巨瘤,恐是肝癌。(示意圖/CFP)
記者李佳蓉/綜合報導
許多人一出現上腹痛,直覺反應就是「胃不舒服」,以為吃點藥就會好,但這可能是身體發出的求救訊號!胃腸肝膽專科醫師陳保中近日分享,一名80歲老伯上腹痛了整整一個多月,原以為是胃病,怎料進一步檢查,竟在肝臟發現一顆9公分巨瘤,影像看起來高度懷疑是肝癌,且隨時有破裂風險,當下不敢耽誤,緊急轉送急診救治。
[廣告] 請繼續往下閱讀.
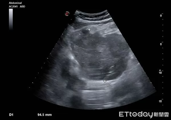
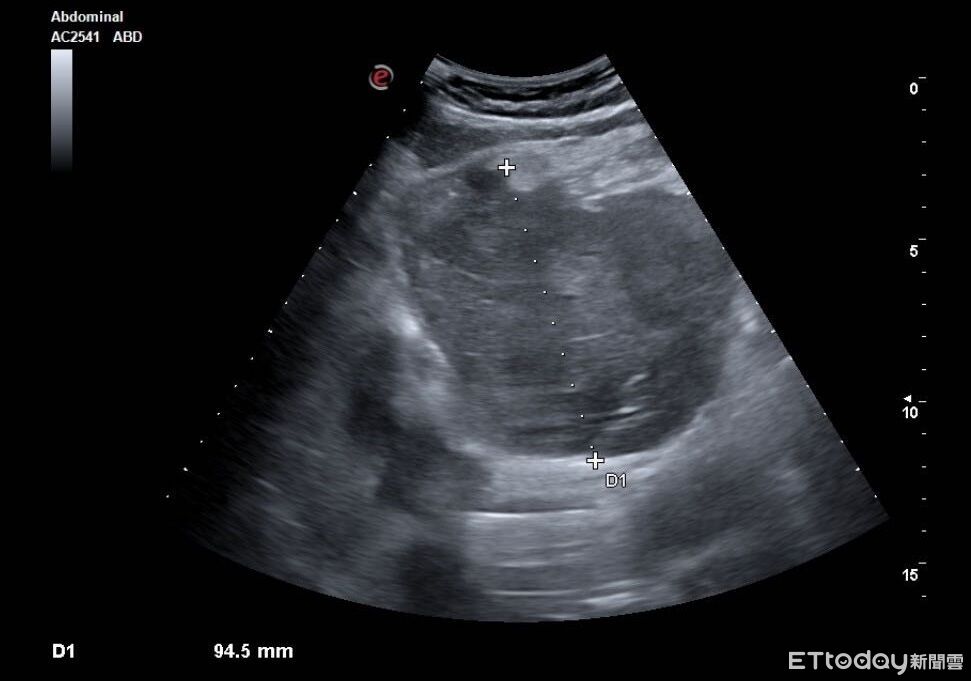
陳保中醫師在粉專「Dr.陳保中《健康減重,腸胃保安康》」指出,這名老伯主訴上腹部疼痛已經持續一個多月,曾前往其他診所看診拿藥,但服用後症狀卻完全沒有改善。患者後來轉診求助,醫師察覺不對勁,立即替他安排腹部超音波檢查,影像顯示左側肝臟竟然有顆「9公分大的腫瘤」,高度懷疑是肝癌。
「很多人肚子痛,第一反應就是『吃個胃藥就好』,但這其實很危險。」陳保中解釋,上腹部器官不只有胃,當肝臟、胰臟出問題時,疼痛的感覺通常跟胃痛非常像,患者很容易搞混而延誤就醫。
為了避免憾事發生,陳保中醫師特別列出「3大警示徵兆」,若民眾出現以下狀況,務必提高警覺:
1. 上腹痛超過一週都沒好。
[廣告] 請繼續往下閱讀..
2. 吃了胃藥,症狀完全沒減輕。
3. 尤其是長輩出現上述狀況,更要小心。
陳保中強調,腹部超音波就像是肚子的「健康雷達」,能協助醫師在病情惡化前看清內部狀況,「早點檢查,真的比什麼都重要。」他也呼籲,若身邊親友或長輩有長期腹痛未癒的情形,記得提醒他們尋求專業腸胃科醫師評估。